【世界过敏日】聊一聊干细胞干预过敏性疾病的相关研究

7月8日是世界过敏性疾病日,2023年世界过敏性疾病日的主题是“预防过敏疾病,促进健康生活”。这一主题强调了预防控制在过敏性疾病治疗中的重要性,同时也强调了人们应该保持一个健康的生活方式来预防过敏疾病。

图片

过敏性疾病包括过敏性鼻炎、哮喘、湿疹、荨麻疹、特异性皮炎、结膜炎、食物过敏、药物过敏和严重过敏反应等。由花粉、尘螨、真菌和宠物等致敏因素引起的过敏性鼻炎和过敏性哮喘最为常见。

 

为什么会发生过敏?


因为你的免疫系统发生了过度反应。当外来物质进入身体时,免疫系统会进行识别,将其划分为无害物质和有害物质两大类。无害物质会被吸收、利用或被自然排出,面对有害物质,免疫系统会立即做出反应,对其进行攻击、消灭,保护身体安康。但是当部分人群的免疫系统出现紊乱情况时,会出现免疫调节失衡,把花粉、柳絮等物质判断为有害物质,当这些物质进入或者接触到人体后,免疫细胞会与这些物质发生“战斗”,将它们清除。

 

干细胞可以调节过敏吗?


干细胞具有强大的免疫调节功能。干细胞对免疫力低或免疫系统过激患者均有很好的疗效,干细胞在治疗自身免疫性疾病(如红斑狼疮、克罗恩病、风湿性关节炎、硬皮病、溃疡性结肠炎等) 、移植物抗宿主病(GvHD)和同种异体排斥反应等方面展示出有效性。目前国内外已经开展了很多对于干细胞治疗过敏性疾病的研究,包括过敏性鼻炎、皮炎、哮喘等。

 

干细胞与过敏性鼻炎


研究表明,间充质干细胞及相关产物对过敏性鼻炎显示出良好的治疗潜能。成都中医药大学医学与生命科学学院/附属生殖妇幼医院、攀枝花学院附属医院耳鼻咽喉头颈外科合作进行了一项间充质干细胞治疗变应性鼻炎基于动物实验的Meta分析。共纳入6篇随机对照动物实验,包括152只小鼠,干细胞组小鼠51只,空白对照组51只,动物模型对照组小鼠50只。

 

Meta分析结果显示:干细胞组喷嚏次数明显少于动物模型对照组;干细胞组揉鼻次数明显少于动物模型对照组;干细胞组血清白细胞介素4水平明显低于动物模型对照组;干细胞组血清白细胞介素6水平明显低于动物模型对照组;干细胞组脾脏白细胞介素10水平明显高于动物模型对照组;干细胞组脾脏白细胞介素6水平明显低于动物模型对照组。根据纳入的动物实验表明,干细胞有助于改善变应性鼻炎的症状,降低血清白细胞介素4、白细胞介素6水平和脾脏白细胞介素6水平,升高脾脏中白细胞介素10水平,干细胞在变应性鼻炎中起着重要的作用。

 

干细胞与过敏性皮炎


2017年,韩国一研究团队发布了使用人间充质干细胞治疗中度到重度的异位性皮炎(AD)的临床试验结果。本研究共招募了34位中度到重度的AD患者,皮下接种不同剂量的间充质干细胞,随访1-3个月。

 

结果表明间充质干细胞的单次治疗有效改善AD患者症状。高剂量间充质干细胞治疗组中有55%的患者的EASI评分降低了50%。高剂量治疗组的IGA评分和SCORAD评分分别降低了33%和50%。特别是高剂量间充质干细胞的施用使瘙痒评分降低了58%。血清IgE水平和嗜酸性粒细胞数量减少。试验中没有严重的副作用事件发生,证实了干细胞治疗的安全性。

 

干细胞与过敏性哮喘


《解剖学杂志》刊载过一篇题为间充质干细胞对过敏性哮喘的治疗作用的文章,将野生型C57Bl/6小鼠分为空白对照组、细胞对照组、哮喘模型组、细胞治疗组。研究者采用小鼠自体脂肪干细胞(ASCs),待细胞传至第3代时,经过尾静脉一次性注射入造模第15天的细胞治疗组,和第1次腹腔注射PBS后第15天的细胞对照组小鼠体内。其余2组以尾静脉注射200 μl PBS代替ASCs细胞。结果显示:ASCs 静脉移植可以减轻气道炎症,治疗过敏性哮喘,可能与抑制炎症反应和ILC2s增殖有关。

 

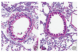
图片

图解:ASCs 注射治疗后,炎症浸润程度明显下降,管壁增厚也较哮喘模型组减轻,表明ASCs 治疗能够有效地减轻哮喘气道炎症。

 

干细胞治疗作为一种新兴的医学技术,它为治疗过敏性疾病提供了新的希望。传统的治疗方法通常只能缓解症状,而干细胞治疗则有望从根本上改变这种局面。干细胞治疗在过敏性疾病领域已经取得了一些令人鼓舞的成果。未来,随着科学技术的不断进步和临床实践的不断积累,干细胞治疗有望成为治疗过敏性疾病的一种重要方法,为患者带来更好的生活质量。

 

本文为科普性知识,仅供学习、交流,请勿用于商业用途。


参考资料:

1、世界过敏性疾病日|揭秘儿童过敏:关于这个疾病,你了解多少?上海市儿童医院 2023.7.7

2、董晨:免疫疾病与免疫治疗(上)干细胞者说 2017-09-07

3、浅析花粉过敏的免疫学机制 挑食的喵  生物制品圈 2020-12-04

4、间充质干细胞治疗变应性鼻炎:一项基于动物实验的Meta分析,闫乐,张慧萍,戴林桐,中国组织工程研究

5、Shin KO, Ha DH, Kim JO, Crumrine DA, Meyer JM, Wakefield JS, Lee Y, Kim B, Kim S, Kim HK, Lee J, Kwon HH, Park GH, Lee JH, Lim J, Park S, Elias PM, Park K, Yi YW, Cho BS. Exosomes from Human Adipose Tissue-Derived Mesenchymal Stem Cells Promote Epidermal Barrier Repair by Inducing de Novo Synthesis of Ceramides in Atopic Dermatitis. Cells. 2020 Mar 10;9(3):680. doi: 10.3390/cells9030680.

6、脂肪来源的间充质干细胞对过敏性哮喘的治疗作用 戴伟丹 孙爱军 张传森 解剖学杂志 2019年03期


END

图片

希诺神州上海宝山基地

汉氏方舟是希诺神州集团根据人类健康需求而构建的健康科普及细胞技术服务的平台。设置线上体验平台和线下科普中心,通过线上+线下的全方位模式,为用户提供全面的健康管理服务,提供多样化、一站式健康管理方案。


图片



从现代预防医学,结合传统中医治未病理念,融合细胞再生医学,汉氏方舟从生命健康出发,维护人体细胞的健康,延缓细胞衰老,保障全身心健康,守护您与家人的健康。


图片

上一篇:干细胞疏通被高血脂“糊住”的血管 下一篇:【用心服务,追求卓越】汉氏联合集团全面升级线上咨询服务!